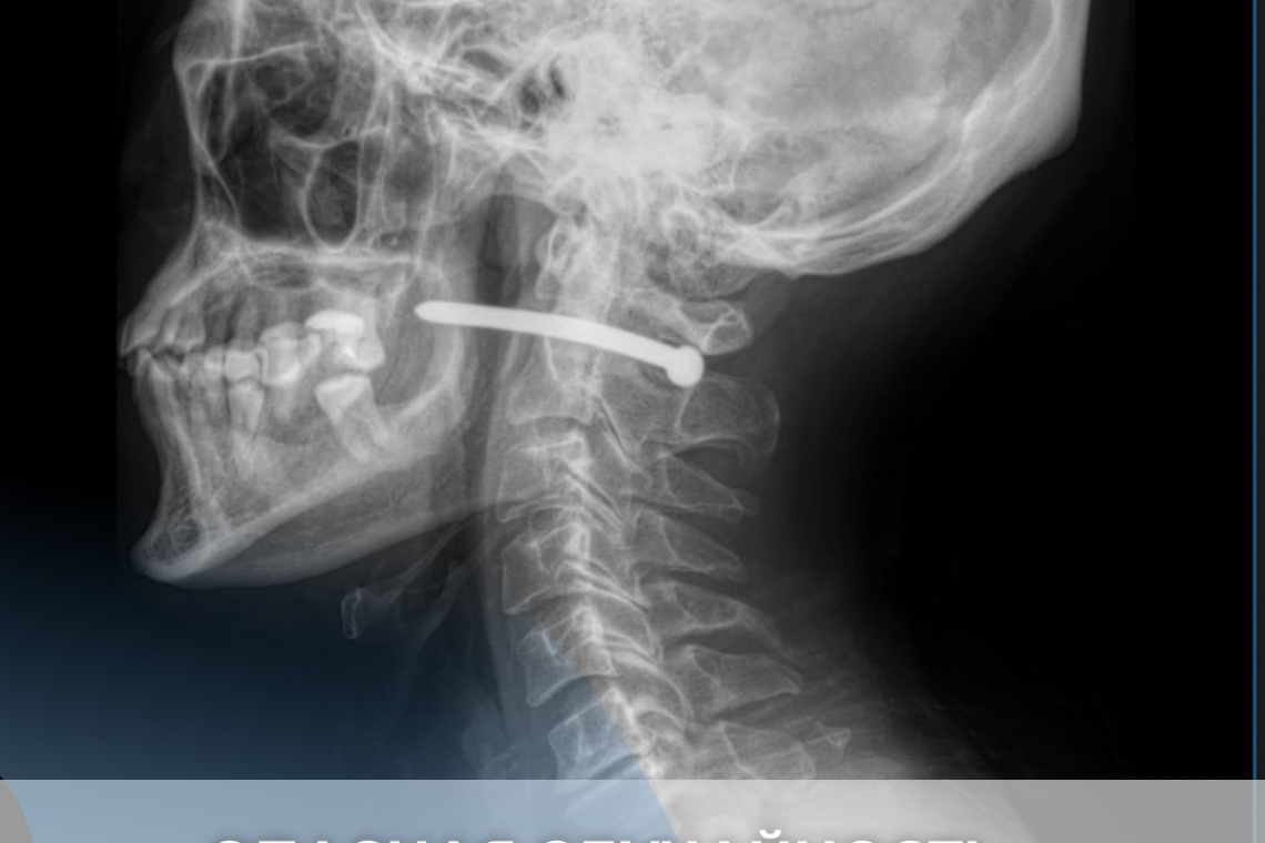
51-летний мужчина обратился в Многопрофильную городскую больницу скорой медицинской помощи с раной в заушной области.
Во время ремонтных работ он по неосторожности получил травму гвоздём из пневматического пистолета.
После рентген-исследования выяснилось, что гвоздь прошёл рядом с шейным отделом позвоночника.
Мужчине чудом повезло — жизненно важные структуры не были задеты.
????⚕️ Челюстно-лицевыми хирургами проведено удаление инородного тела, ревизия и обработка раны.
После наложения швов и стерильной повязки пациент с рекомендациями отпущен домой.
⚠️ Травмы в области шеи крайне опасны — рядом проходят крупные сосуды, нервы, дыхательные пути и спинной мозг. Даже небольшое повреждение может привести к серьёзным последствиям.
???? Будьте осторожны:
— Соблюдайте технику безопасности при работе с инструментами.
— Используйте защитные средства.
— Не пытайтесь самостоятельно извлекать инородные предметы.
— При травмах сразу обращайтесь за медицинской помощью.
???? Вовремя оказанная помощь — шанс сохранить здоровье и жизнь.





