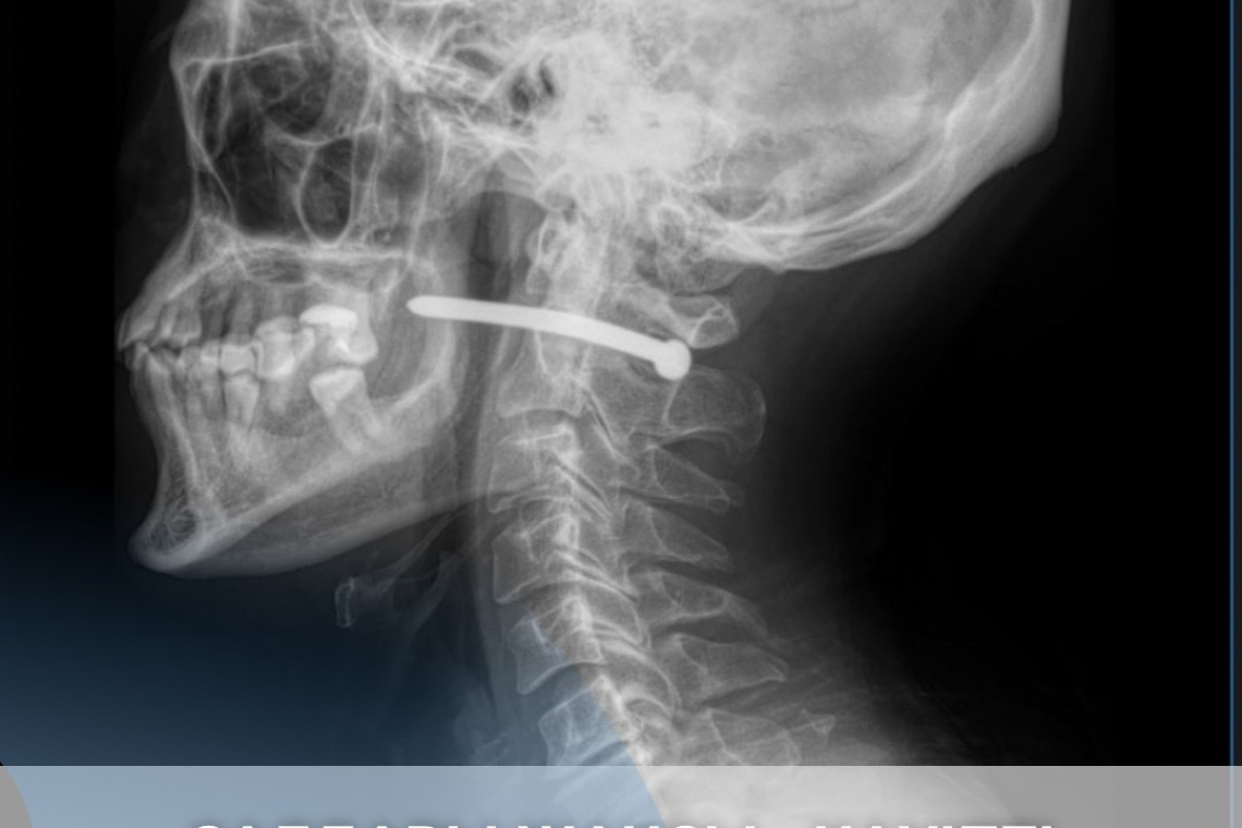
Көп бейінді қалалық жедел медициналық жәрдем ауруханасына 51 жасар ер адам құлақ маңындағы жарамен көмекке жүгінді. Жөндеу жұмыстары кезінде шегеге арналған пневматикалық құралдың шегесінен жарақат алған.
Рентген-зерттеуден кейін шегенің омыртқаның мойын бөлігінен өткені анықталды.
Ер адамның көрер жарығы бар екен – өміріне маңызды органдары зақым алған жоқ.
????⚕️ Жақсүйек-бет хирургтары жарадан шегені алып, қарап, жараны өңдеді. Жара тігіліп, стерильді таңғыш салынғаннан кейін пациентке ұсыныстар беріліп, ол үйіне жіберілді.
⚠️ Мойын тұзына жарақат алу өте қауіпті – мойынның маңайынан үлкен тамырлар, нервтер, тыныс алу жолдары және жұлын өтеді. Тіпті кішкене ғана зақым алудың салдары ауыр болуы мүмкін.
???? Сақ болыңыз:
— Құрал-саймандармен жұмыс істегенде қауіпсіздік техникасын сақтаңыз.
— Қорғаныс құралдарын қолданыңыз.
— Бөгде заттарды өзіңіз алуға тырыспаңыз.
— Жарақат алғанда дереу медициналық көмекке жүгініңіз.
???? Уақытында көрсетілген көмек — денсаулық пен өмірді сақтап қалу мүмкіндігі.





